Konservasi gigi / endodontic
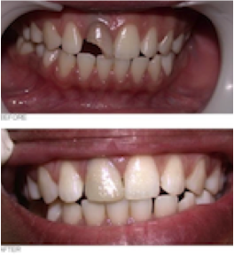
Merupakan sebuah cabang ilmu yang memiliki tujuan akhir mempertahankan gigi slama mungkin di dalam mulut. Layanan dari bidang spesialistik ini melingkupi penambalan pada gigi berlubang, restorasi mahkota, onlay, inlay. Perawatan saluran akar gigi akibat lubang gigi yang terlalu dalam sampai mencapai daerah saraf gigi. Perawatan saluran akar gigi / rawat saraf gigi ini dapat dilakukan dalam sekali kunjungan atau beberapa kali kunjungan. Seringkali perawatan yang dilakukan memerlukan perawatan ulang di kemudian hari.
Oleh karena itu diperlukan seorang yang ahli dalam bidang konservasi gigi yang lebih berhati-hati dalam menangani kasus-kasus infeksi gigi. Drg bergelar Sp.KG ini juga dibekali keterampilan unuk Pemutihan gigi dari dalam mahkota (intra korona) dan dari luar mahkota (ekstra korona). Gigi yang sudah mengalami kematian pada sarafnya biasanya mengalami perubahan warna menjadi lenih gelap, kasus ini dapat ditangani dengan pemutihan intra korona


Berikut contoh hasilnya: